Essential idea: The evolution of multicellular organisms allowed cell specialization and cell replacement.

2017 – MAY
*1.2 (IB 2017/MAY – SL P1/1B)
Which structure found in eukaryotes has a single membrane?
A. Nucleus
B. Lysosome
C. Chloroplast
D. Mitochondrion
*1.3 (IB 2017/MAY – SL P1/2C)
The following electron micrograph shows part of a palisade mesophyll cell. Which of the labelled structures controls the exchange of substances to and from the cell?
*1.2 (IB 2017/MAY – SL P1/3B)
Which organism has DNA located in three organelles?
A. A sponge
B. A fern
C. A flatworm
D. A bacterium
*1.2 (IB 2017/MAY – SL P1/4A)
Which organelle is involved in generating vesicles destined for the cell membrane?
A. Golgi apparatus
B. Smooth endoplasmic reticulum
C. Rough endoplasmic reticulum
D. Lysosome
*1.6 (IB 2017/MAY – SL P1/5C)
When during the cell cycle does DNA replication take place?
2016 – MAY
*1.6 (IB 2016/MAY – SL P1/8A)
What is the process shown in this image?

A. Binary fission of a prokaryotic cell
B. Telophase II in a eukaryotic cell
C. End of mitosis in a prokaryotic cell
D. Cytokinesis of a eukaryotic cell
*1.2 (IB 2016/MAY – SL P1/9B)
What distinguishes prokaryotic cells and eukaryotic cells?
*1.2 (IB 2016/MAY – SL P1/10B)
What can be deduced about a striated muscle fi bre from both of these statements?
“A eukaryotic cell has one nucleus.”
“A striated muscle fi bre has many nuclei.”
A. It is prokaryotic.
B. It is an exception to cell theory.
C. It consists of aseptate hyphae.
D. It is preparing to divide.
*1.4 (IB 2016/MAY – SL P1/11B)
The diagram is a model of one type of movement across a membrane.
What is this type of movement?
A. Simple diffusion
B. Facilitated diffusion
C. Osmosis
D. Active transport
2015 – MAY – SL
(IB 2015/MAY – SL P1/D)
A frog jumped 80 times and each time the length of the jump was recorded. The mean length of the jumps was 38 cm with a standard deviation of 10 cm. What can be deduced from this information?
A. The frog did not jump more than 48 cm.
B. The number of jumps more than 38 cm is the same as the number less than 38 cm.
C. Approximately 32 % of the jumps were less than 28 cm.
D. Approximately 68 % of the jumps were between 28 and 48 cm.
1.1 (IB 2015/MAY – SL P1/C)
Which functions of life are carried out by all unicellular organisms?
A. Response, homeostasis, growth and photosynthesis
B. Metabolism, ventilation, reproduction and nutrition
C. Response, homeostasis, metabolism and growth
D. Reproduction, ventilation, response and nutrition
1.1 (IB 2015/MAY – SL P1/D)
A botanist measures a leaf and finds it is 24 cm long and 8 cm wide. His drawing of the leaf is 4 cm wide. Which was the magnification and length of his drawing, assuming that the proportions of the drawing were correct?
1.2 (IB 2015/MAY – SL P1/C)
What is the structure labeled X in the electron micrograph of a rat liver cell?
A. Ribosome
B. Lysosome
C. Mitochondrion
D. Nucleus
1.4 (IB 2015/MAY – SL P1/B)
What is a role of protein pumps in active transport?
A. To control whether specific substances enter the cell
B. To move substances across a concentration gradient
C. To produce ATP for energy
D. To provide protein for facilitated diffusion
1.6 (IB 2015/MAY – SL P1/C)
Which events occur during both mitosis and meiosis?
A. Production of haploid cells from diploid cells
B. Crossing over
C. Separation of the chromatids from each chromosome
D. Production of genetically different cells
1.2 (IB 2015/MAY – HL P1/D)
What structures are part of an Escherichia coli cell?
A. Ribosomes, nucleoid and Golgi apparatus
B. Ribosomes, mitochondria and pili
C. Cell wall, plasma membrane and nuclear membrane
D. Pili, flagella and cytoplasm
1.1 (IB 2015/MAY – SL P1/D)
Why do multicellular organisms have emergent properties?
A. They have more genes than unicellular organisms.
B. Properties of unicellular organisms are enhanced by having many cells.
C. All of their genes are expressed whereas unicellular organisms express only some.
D. They show properties that can only result from the interaction of many cells.
1.4 (IB 2015/MAY – SL P1/A)
What is osmosis?
A. The movement of water through a membrane from a low to a high solute concentration
B. The movement of solutes through a membrane from a high to a low water concentration
C. The movement of water through a membrane from a high to a low solute concentration
D. The movement of solutes through a membrane from a low to a high water concentration
1.1 (IB 2015/MAY – HL P1/D)
What happens to the cell surface area to volume ratio as a cell grows?
A. It decreases, so production of waste material is reduced.
B. It increases, so mineral ion absorption is increased.
C. It increases, so osmosis is reduced.
D. It decreases, so rate of gas exchange is too low.
1.2 (IB 2015/MAY – HL P1/B)
What is a function of the plant cell wall?
A. Formation of vesicles for transport of large molecules
B. Prevention of excessive water uptake
C. Communication with other cells by means of glycoproteins
D. Active transport of ions
1.2 (IB 2015/MAY – HL P1/D)
What distinguishes prokaryotic cells from eukaryotic cells?
1.2 (IB 2015/MAY – HL P1/A)
What is an example of binary fission?
A. Cell division in prokaryotes
B. Production of haploid gametes
C. Separation of chromatids in prokaryotic cells
D. Replication of prokaryotic DNA occurring simultaneously in two directions
*1.1 (IB 2015/MAY – SL P2)
2014 – NOVEMBER
1.1 (IB 2014/NOV – SL P1/A)
What evidence supports the cell theory?
A. Living organisms are made up of cells.
B. Unicellular organisms carry out all the functions of life.
C. Multicellular organisms show emergent properties.
D. Cells can develop from inorganic molecules.
1.2 (IB 2014/NOV – SL P1/C)
What is a difference between prokaryotic cells and eukaryotic cells?
A. Ribosomes are found only in prokaryotic cells.
B. Cell walls are found only in eukaryotic cells.
C. Mitochondria are found only in eukaryotic cells.
D. Flagella are found only in prokaryotic cells.
1.1 (IB 2014/NOV – SL P1/B)
What causes cell differentiation in multicellular organisms?
A. Each cell having different genes.
B. The expression of certain genes but not others.
C. The recognition by antibodies of some cells but not others.
D. The cellular recognition of a specific function.
1.2 (IB 2014/NOV – SL P1/C)
Which structure synthesizes proteins for use primarily within the cell?
1.4 (IB 2014/NOV – SL P1/C)
What is the passive movement of particles, such as sodium ions from an area of higher concentration to an area of lower concentration through a protein carrier?
A. Diffusion
B. Osmosis
C. Facilitated diffusion
D. Active transport
2014 – MAY
1.1 (IB 2014/MAY – SL P1/C)
The cell theory states that cells come from pre-existing cells. What biological process allows this to occur?
A. Ovulation
B. Differentiation
C. Cytokinesis
D. Exocytosis
1.3 (IB 2014/MAY – SL P1/A)
Which structures have a phospholipid bilayer?
I. vesicle
II. nucleus
III. nucleoid
A. I and II only
B. I and III only
C. II and III only
D. I, II, and III
1.2 (IB 2014/MAY – SL P1/A)
What can be found in plant cells but not animal cells?
A. Starch
B. Mitochondria
C. Golgi apparatus
D. Rough ER
1.6 (IB 2014/MAY – SL P1/B)
Which usually takes the most time in the cell cycle?
A. Cytokinesis
B. Interphase
C. Telophase
D. Anaphase
*1.1/1.2 (IB 2014/MAY – SL P2)
2013 – NOVEMBER
1.2 (IB 2013/NOV – SL P1/C)
What identifies the structure and function of flagella and pili?
1.1 (IB 2013/NOV – SL P1/B)
Which property of cells is evidence for the cell theory?
A. Cells have proteins.
B. Cells can divide.
C. Cells have nucleic acids.
D. Cells can move around.
1.1 (IB 2013/NOV – SL P1/A)
What identifies plant cells and animal cells?
1.6 (IB 2013/NOV – SL P1/D)
Which is the sequence of events in mitosis?
A. metaphase, anaphase, telophase, prophase
B. anaphase, prophase, telophase, metaphase
C. telophase, prophase, metaphase, anaphase
D. prophase, metaphase, anaphase, telophase
1.3 (IB 2013/NOV – SL P1/C)
Which are functions of membrane proteins?
A. Hormone binding sites and DNA replication
B. Cell adhesion and translation
C. Cell to cell communication and protein pumps
D. Passive transport and glycolysis
1.2 (IB 2013/NOV – SL P2)
1.2 (IB 2013/NOV – HL P1/C)
What identifies the structure and function of flagella and pili?
1.1 (IB 2013/NOV – HL P1/B)
Which property of cells is evidence for the cell theory?
A. Cells have proteins.
B. Cells can divide.
C. Cells have nucleic acids.
D. Cells can move around.
1.1 (IB 2013/NOV – HL P1/A)
What identifies plant cells and animal cells?
1.6 (IB 2013/NOV – HL P1/C)
Which of the following processes take place during interphase in animal cells?
I. Spindle formation
II. Transcription and translation
III. Increase in numbers of mitochondria
A. I only
B. I and II only
C. II and III only
D. I, II and III
2013 MAY
*1.2/1.4 (IB 2013/MAY – SL P2)
2012 – NOVEMBER
(IB 2012/NOV – SL P1/C)
A student completed a study on the height of trees of different ages. The results are shown in the following graph.
What could the vertical bars represent?
A. The median height for each age of tree
B. The value of t compared to other species of trees
C. Plus one to minus one standard deviation
D. The correlation between the height and diameter of the trees
1.2 (IB 2012/NOV – SL P1/A)
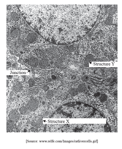
Question refer to the following electron micrograph which shows part of two adjacent liver cells.
What is happening at the structure labelled X?
A. Synthesis of proteins
B. Transport of proteins to the nucleus
C. Modification of proteins prior to export
D. Secretion of proteins through the plasma membrane
1.2 (IB 2012/NOV – SL P1/D)
Question refer to the following electron micrograph which shows part of two adjacent liver cells.
What is the structure labelled Y?
A. Nucleus
B. Starch grain
C. Lysosome
D. Mitochondrion
1.1 (IB 2012/NOV – SL P1/A)
What is proportional to a cell’s surface area?
A. Rate of exchange of materials
B. Rate of heat production
C. Rate of waste production
D. Rate of oxygen consumption
1.4 (IB 2012/NOV – SL P1/B)
Which process requires channel proteins?
A. Simple diffusion
B. Facilitated diffusion
C. Binding of hormones
D. Exocytosis
1.4 (IB 2012/NOV – SL P1/A)
What feature of cell membranes allows endocytosis to occur?
A. Fluidity of phospholipid bilayer
B. Presence of protein pumps
C. Presence of carrier proteins
D. Glycoprotein binding sites
1.2 (IB 2012/NOV – HL P1/D)
Which is a difference between prokaryote and eukaryote cells?
1.6 (IB 2012/NOV – HL P1/C)
The following events occur in mitosis.
X: Attachment of spindle microtubules to centromeres
Y: Movement of sister chromatids to opposite poles
Z: Supercoiling of chromosomes
What is the correct sequence of events?
A. X → Z → Y
B. X → Y → Z
C. Z → X → Y
D. Z → Y → X
*1.6 (IB 2012/NOV – SL P2)
2012 – MAY
(IB 2012/MAY – SL P1/C)
The mean height for adult men in the United States is 1.78 m with a standard deviation of 8 cm. Which statement is true?
A. The tallest man in the United States is 1.86 m tall.
B. 68 % of men in the United States are between 1.74 m and 1.82 m tall.
C. 68 % of men in the United States are between 1.70 m and 1.86 m tall.
D. 100 % of men in the United States are within two standard deviations of 1.78 m.
1.1 (IB 2012/MAY – SL P1/D)
Which property makes stem cells suitable for therapeutic use?
A. They can divide by meiosis to form gametes.
B. They contain chemicals that can kill bacteria.
C. Their chromosomes are suitable for gene transfer and cloning.
D. They can differentiate into specialized cells.
1.2 (IB 2012/MAY – SL P1/B)
Which features are present in prokaryotic cells?
A. DNA, plasma membrane and mitochondria
B. DNA, cell wall and pili
C. ribosomes, chloroplasts and cell wall
D. cytoplasm, ribosomes and rough endoplasmic reticulum
1.2 (IB 2012/MAY – SL P1/C)
Where in the cell do condensation reactions involving amino acids occur?
A. Nucleus
B. Golgi apparatus
C. Ribosomes
D. Lysosome
1.4 (IB 2012/MAY – SL P1/A)
Which process is possible due to the fluidity of cell membranes?
A. Endocytosis
B. Osmosis
C. ATP production
D. Cell recognition
1.6 (IB 2012/MAY – SL P1/A)
In which stage of mitosis is the cell labelled X?
A. Anaphase
B. Interphase
C. Metaphase
D. Prophase
1.1 (IB 2012/MAY – HL P1/B)
Which functions are carried out by all unicellular organisms?
1.6 (IB 2012/MAY – SL P1/B)
How do cells in multicellular organisms differentiate?
A. Some cell types divide by mitosis more often than others.
B. They express some of their genes but not others.
C. Some of their proteins denature but not others.
D. Their DNA content changes with time.
1.2 (IB 2012/MAY – SL P1/C)
What is the function of the Golgi apparatus?
A. Transport of lipids
B. Synthesis of polypeptides
C. Processing of proteins for secretion
D. Generation of most of the cell’s supply of ATP
1.2 (IB 2012/MAY – SL P1/A)
Which structure is present in a prokaryotic cell?
A. Plasma membrane
B. 80S ribosome
C. Nucleus
D. Chloroplast
1.3 (IB 2012/MAY – SL P1/A)
What is the approximate thickness of the plasma membrane of a cell?
A. 10 nm
B. 50 nm
C. 10 μm
D. 50 μm
1.1 (IB 2012/MAY – HL P1/D)
What is an example of the therapeutic use of stem cells?
A. Sequencing the human genome
B. Forensic investigations of paternity
C. Production of genetically modified crops
D. Restoration of insulation tissue in neurons
1.2 (IB 2012/MAY – HL P1/B)
The diagram shows the structure of a bacterium.
What is the structure labelled X?
A. Pilus
B. Cell wall
C. Cytoplasm
D. Cell membrane
2011 – NOVEMBER
(IB 2011/NOV – SL P1/B)
What is the purpose of calculating the standard deviation?
A. To represent graphically the variability of data
B. To give a measure of the spread of values around the mean
C. To represent the range of 50 % of the data
D. To give a measure of the correlation between two variables
1.1 (IB 2011/NOV – SL P1/D)
Which statement is part of the cell theory?
A. All cells have a cell wall.
B. Every cell shows emergent properties.
C. Every cell carries out all the functions of life.
D. All cells come from pre-existing cells.
1.2 (IB 2011/NOV – SL P1/B)
What is the principal mode of division for the prokaryote Escherichia coli ?
A. Endocytosis
B. Binary fission
C. Cytokinesis
D. Meiosis
1.2 (IB 2011/NOV – SL P1/B)
Where can 70S ribosomes be found?
A. On membranes of the Golgi apparatus
B. In prokaryotic cells
C. On membranes of the rough endoplasmic reticulum
D. In nuclei
(IB 2011/NOV – HL P1/D)
What is phosphorus used for in plant cells?
A. Structure of hemoglobin
B. Composition of long-term energy storage
C. Positive charge of membranes
D. Composition of nucleic acids
(IB 2011/NOV – HL P1/D)
Which statement describes glycogen?
A. It is a hormone involved in the control of blood glucose.
B. It is a component of the cell wall in plants.
C. It is a monosaccharide converted to pyruvate during cell respiration.
D. It is a polysaccharide found in animals.
2011 – MAY
*1.1 (IB 2011/MAY – SL P1/2C)
Which of the following will contribute to the cell theory?
I. Living organisms are composed of cells.
II. All cells come from pre-existing cells by mitosis.
III. Cells are the smallest units of life.
A. I only
B. II only
C. I and III only
D. I, II and III
*1.1 (IB 2011/MAY – SL P1/3B)
A red blood cell is 8 μm in diameter. If drawn 100 times larger than its actual size, what diameter will the drawing be in mm?
A. 0.08 mm
B. 0.8 mm
C. 8 mm
D. 80 mm
*1.2 (IB 2011/MAY – SL P1/4D)
A cell has cytoplasm, a cell wall, naked DNA and ribosomes. Based on this information, what type of cell could this be?
A. A cell from a pine tree
B. A grasshopper cell
C. A human red blood cell
D. A bacterium
*1.4 (IB 2011/MAY – SL P1/5C)
What do diffusion and osmosis have in common?
A. They only happen in living cells.
B. They require transport proteins in the membrane.
C. They are passive transport mechanisms.
D. Net movement of substances is against the concentration gradient.
*1.6 (IB 2011/MAY – SL P1/6D)
The diagram below shows a cell during mitosis.
What are the structures and stage of mitosis?
2010 – NOV
1.6 (IB 2010/NOV – SL/2A)
What is the sequence of stages during the cell cycle?

1.2 (IB 2010/NOV – SL/4D)
What is the difference between the structure of all prokaryotes and all eukaryotes?
1.4 (IB 2010/NOV – SL/5C)
What does facilitated diffusion across a cell membrane require?
1.6 (IB 2010/NOV – SL/6C)
The graph below represents the amount of DNA during the cell cycle. Which part of the graph represents metaphase?
1.6 (IB 2010/NOV – SL P2/2)
OTHERS
(IB/A)

(IB/A)
(IB/D)
(IB/B)
(IB/B)
(IB/D)
(IB/C)
(IB/B)
(IB/B)
(IB/C)
(IB/C)
(IB/C)
(IB/A)
(IB/B)
(IB/D)
(IB/D)
(IB/D)
(IB/C)
(IB/D)
(IB/D)
(IB/D)
(IB/B)



























































